Patient with missing teeth and full mouth of infection & decay seeking help of a biological dentist

Case Overview: Ceramic Dental Implants for Full Mouth Reconstruction Performed by Our Biological Dentist, Virgnia

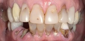
The patient presented to Virginia Biological Dentistry for a comprehensive biological evaluation after experiencing extensive dental breakdown and ongoing infection. Examination revealed advanced decay in the upper dentition, missing teeth, and widespread infection affecting all remaining lower teeth, rendering the lower teeth non-salvageable.

The patient was seeking a definitive, health-focused solution that would address infection, restore function, and provide a long-term, metal-free outcome.

decay infection teeth 3
decay infection teeth 1
decay infection teeth 2
Cavities and Infections and broken teeth

Comprehensive Biological Evaluation

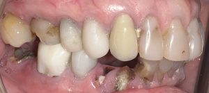
Our biological dentist, Dr. Hart performed a detailed biological assessment, including advanced imaging and clinical evaluation. Findings confirmed that while the upper teeth could be restored, the lower dentition was compromised by infection that required complete removal to support oral and overall health.

After reviewing the findings and treatment options, the patient elected to proceed with a full-mouth biological reconstruction.

image 1 1
ceramic dental implants img 2
image 3 1

Biological Treatment Plan

The treatment plan included:

  • Restoration of the upper teeth with ceramic crowns and porcelain veneers

  • Atraumatic extraction of all infected lower teeth

  • Immediate placement of ceramic (zirconia) implants in the lower jaw

  • Final restoration with permanent ceramic bridges

This phased yet efficient approach was designed to eliminate infection while supporting optimal healing and long-term stability.

Biological Infection Removal and Immediate Implant Placement

Dr. Hart meticulously removed all infected tissue using a comprehensive biological protocol, which included:

implants healed
upper restored teeth veneers crowns
decay removed from upper teeth

Why Immediate Ceramic Implant Placement Matters

Placing ceramic implants at the time of extraction significantly reduced overall treatment time while improving healing predictability. By combining immediate implant placement with PRF, Dr. Hart leveraged the body’s natural regenerative response, eliminating the need for delayed bone grafting or extended healing periods.

This approach allowed the patient to move efficiently toward restoration while maintaining a strong biological foundation for long-term success.

 
 

all on 6 ceramic implants bna 1  

Final Restoration and Outcome

After approximately four months of successful integration, Dr. Hart restored the ceramic implants with permanent ceramic bridges, completing the full-mouth reconstruction.

The final result delivered:

  • Restored function and chewing efficiency

  • A stable, healthy bite

  • A natural, aesthetic smile using fully biocompatible materials

Upon completion of treatment, the patient expressed profound satisfaction and sincere gratitude for the outcome, as well as appreciation for the efficiency, precision, and level of care provided by Dr. Hart and the Virginia Biological Dentistry team.

Restore Smile Health

Clinical Significance

This case highlights how biological protocols, immediate ceramic implant placement, and PRF-supported healing can be combined to successfully manage advanced infection and deliver predictable, long-term outcomes in complex full-mouth cases.

All teeth full mouth reconstruction veneers ceramic implants

Success Stories